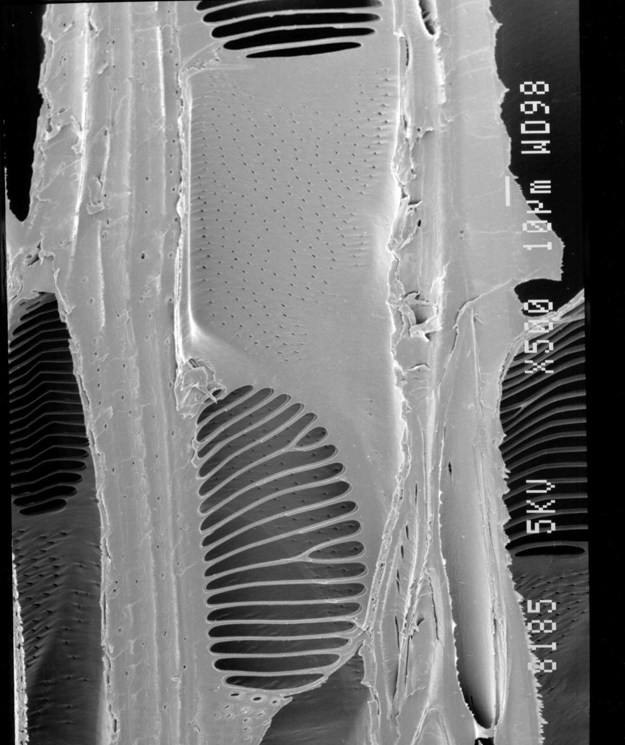
JWDB-走査電顕像
TWTwNo.
2586
採集データ:
Alnus hirsuta Turcz. var. sibirica (Fischer.) C.K. Schn.
栃木県足尾町細尾峠
ヤマハンノキ
Betulaceae